wroclaw.pl strona główna Najświeższe wiadomości dla mieszkańców Wrocławia Dla mieszkańca - strona główna

Infolinia 71 777 7777

°C Pogoda we Wrocławiu
Ikona powietrza

Jakość powietrza:

brak danych z GIOŚ

wroclaw.pl strona główna
Reklama
  1. wroclaw.pl
  2. Dla mieszkańca
  3. Aktualności
  4. Śpią lepiej dzięki stymulatorowi

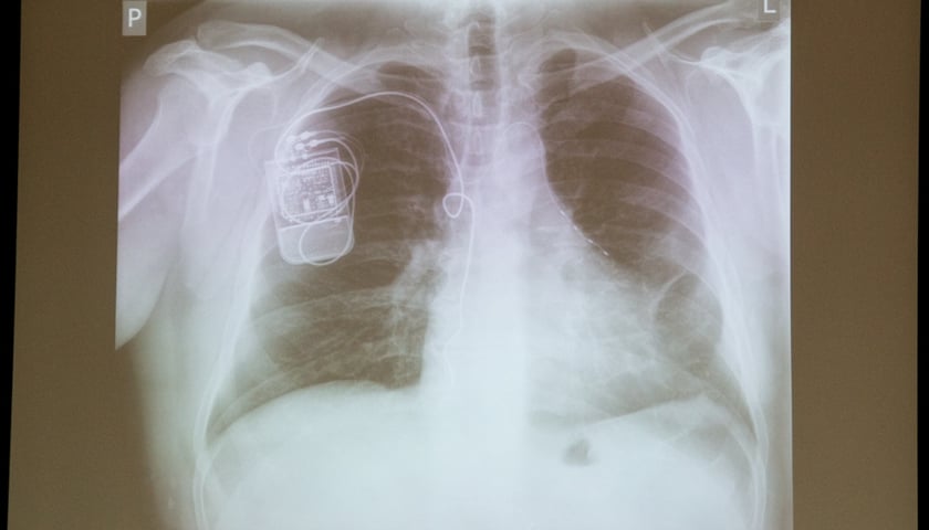
Kardiolodzy z Wojskowego Szpitala Klinicznego we Wrocławiu, jako pierwsi i jedyni w Polsce, pomagają chorym cierpiącym na bezdech senny przy pomocy unikalnej metody. Wszczepiają im w klatce piersiowej specjalny stymulator, który zapobiega bezdechom i zmniejsza liczbę wybudzeń.  

Niebezpieczne dla zawałowców

Na groźny dla życia bezdech senny cierpi około 5 procent populacji, najczęściej są to mężczyźni w średnim i podeszłym wieku.

Zaburzenia oddychania podczas snu są bardzo niebezpieczne, zwłaszcza dla chorych po zawale i z niewydolnością serca. A bezdech dotyka aż 40-50 procent tych chorych. Człowiek przestaje oddychać na kilkanaście do kilkudziesięciu sekund. Spada wtedy poziom tlenu we krwi, a skutki niedotlenienia odbijają się negatywnie na pracy serca, nerek, wątroby. Do tego są ciągle niewyspani, zmęczeni i źle się czują. Rekordziści (którym lekarze wszczepili stymulator) mieli po kilkadziesiąt bezdechów w czasie godziny snu.

Leczą razem z Amerykanami

- Dotąd nie potrafiliśmy tego leczyć i wspólnie z kolegami z USA zastanawialiśmy się, jak można pomóc pacjentom. Wreszcie mamy wyszukaną metodę leczenia bezdechu – przyznaje z radością prof. Piotr Ponikowski, kierownik Kliniki Kardiologii Ośrodka Chorób Serca w szpitalu wojskowym.

Urządzenie, które ratuje pacjentów z bezdechem, to stymulator nerwu przeponowego. Jest wielkości malutkiego telefonu komórkowego.

Jak działa stymulator?

- Idea zabiegu polega na tym, aby umieścić elektrodę, która będzie stymulować nerw przeponowy – tłumaczy dr n.med. Adam Kołodziej, kardiolog. Zabieg jest małoinwazyjny i odbywa się w znieczuleniu miejscowym. Trwa zwykle kilkadziesiąt minut. Kierownik kliniki podkreśla, że zabieg wymaga dużej biegłości manualnej od lekarza. - Musi on bowiem trafić elektrodą do bardzo cienkiej i fikuśnie biegnącej żyły przeponowej – mówi.

Urządzenie potrafi rozpoznać moment, który poprzedza wystąpienie bezdechu. Wówczas wysyła  impuls do elektrody stymulacyjnej znajdującej się w sąsiedztwie nerwu przeponowego, co zapobiega wystąpieniu bezdechu. Co ciekawe, stymulator działa jedynie w nocy, kiedy chory śpi, i wyłącznie, gdy znajduje się w pozycji leżącej. 

Wszczepią kolejnym chorym

Dotąd lekarze ze szpitala wojskowego wszczepili urządzenie 15 pacjentom, a do końca tego roku zamierzają przeprowadzić zabiegi u kolejnych 15 pacjentów.  

Jednym z pierwszych pacjentów jest pan Krzysztof Jaworski, który miał ciężki zawał w 2002 r. i zaczął cierpieć na bezdech senny. – Ciągle byłem zmęczony i niewyspany. Gdy tylko dowiedziałem się o tej metodzie, zdecydowałem się na zabieg. Chciałem też cos zrobić dla nauki – przyznaje pan Krzysztof.

Metoda jest na etapie końcowych badań klinicznych.

Eliza Głowicka

Posłuchaj podcastu

Bądź na bieżąco z Wrocławiem!

Kliknij „obserwuj”, aby wiedzieć, co dzieje się we Wrocławiu. Najciekawsze wiadomości z www.wroclaw.pl znajdziesz w Google News!

Reklama
Powrót na portal wroclaw.pl